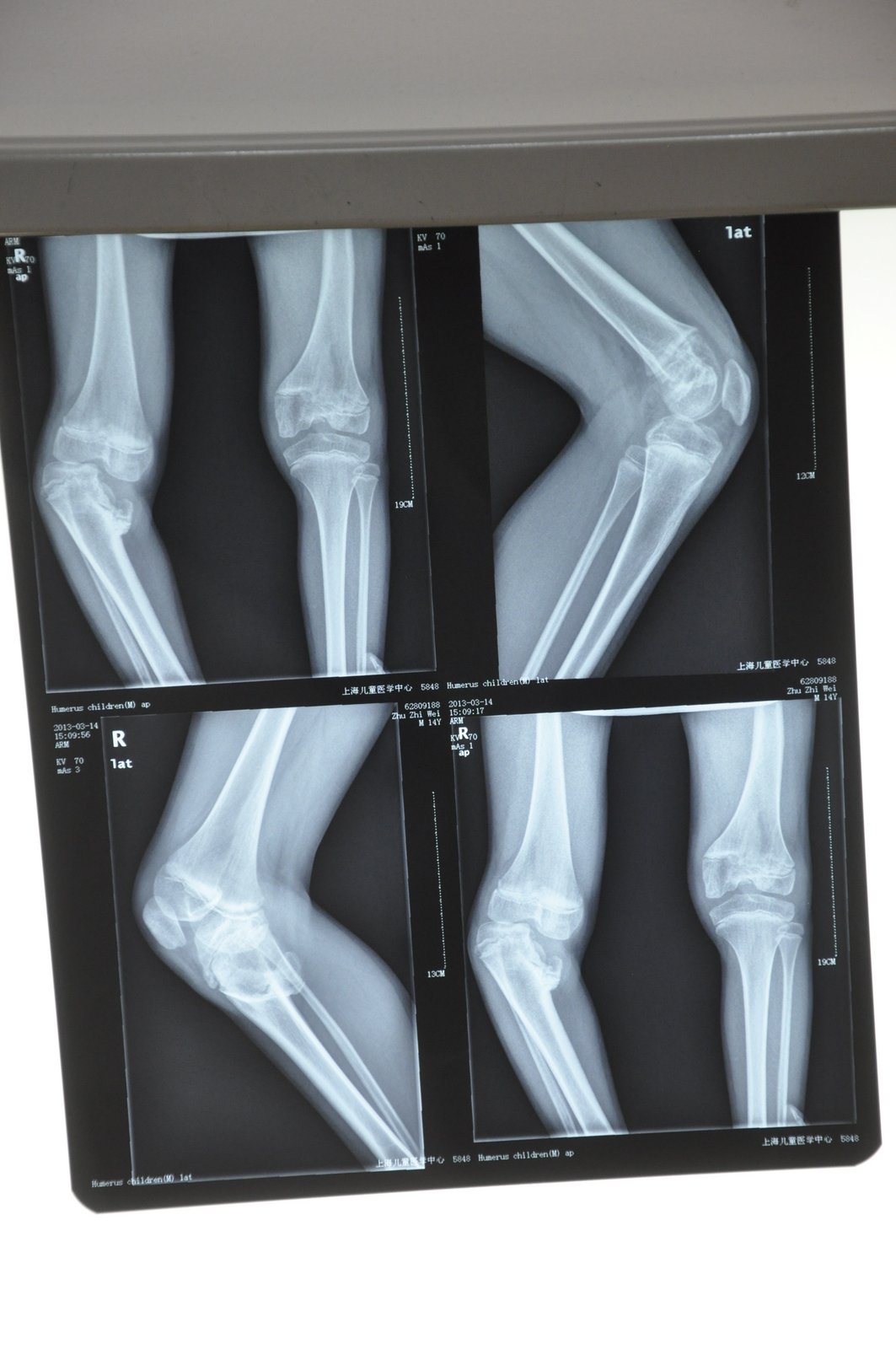
A young 13-year-old boy named Zhiwei (sounds like "Jurway") is about to begin surgery today. I met him and his father on the streets of Shanghai and became friends a few weeks ago when they came to town from the countryside for some big-city medical help. As you can see in the photos below, shared with permission of the family, his leg is badly curved with a severe joint problem. It apparently arose from a serious infection he had as a baby. When he walks, he has to stoop way down with each step on that leg and it looks like it's going to snap. Painful. He had one surgery years ago but it didn't do much. He's getting real help this time. The family, though, has very little money, being poor farmers from Jiangxi province. The surgery will cost about $8,000 (50,000 RMB). I'll be getting details from the hospital today on how people can help if you'd like to donate and help out.
Many thanks to a couple of kind US doctors who gave some free analysis that helped the father decide to avoid a dangerous additional but unnecessary hip surgery that a questionable doctor here had been pushing in addition to the knee surgery. I think the most important part of my role in connecting with these strangers was to help them get vitally needed second opinions here and from kind doctors in the US that helped the father changed his mind and make what I think is the correct decision: knee surgery (only) right now.
Continue reading at the original source →
Show all posts from
Go to Previous
Shortcut Keys: K or P
Shortcut Keys: K or P
Go to Next
Shortcut Key: J or N
Shortcut Key: J or N
Close
Shortcut Key: Esc
Shortcut Key: Esc
Blogs about Latter-day Saint Topics
Blogs by Mormons on Other Topics
Blogs by Full-Time Mormon Missionaries
Content from Official Church Feeds
Audio and Video from
General Conferences
General Conferences



